Our Services
Cosmetic Therapy
What We Offer
At our Long Island City dental office, patients are treated to a wide range of cosmetic therapy services tailored to meet your individual oral health needs.

Invisalign is a type of orthodontic treatment that uses clear, removable aligners to gradually move teeth into their desired positions. Invisalign aligners are made of a thin, clear plastic that is custom-fitted to each patient’s teeth. It is a popular option for people who want to straighten their teeth without having to wear traditional metal braces. Invisalign is a safe and effective way to straighten teeth. Invisalign works by using a series of clear aligners that are worn over the teeth. The aligners are gradually changed over time, which gradually moves the teeth into their desired position. It is a good option for people who are looking for a discreet and comfortable orthodontic treatment. It is a popular alternative to traditional braces, as it is more discreet and can be removed for eating, drinking, and brushing.
However, Invisalign is not a perfect solution for everyone. It is not as effective for severe cases of malocclusion, and it may not be suitable for people with certain medical conditions. Additionally, Invisalign requires a high level of patient compliance, as the aligners must be worn for the prescribed amount of time each day.

Teeth whitening (Tooth bleaching) is a cosmetic dental procedure that uses a bleaching agent to lighten the color of teeth. The most common bleaching agent used in teeth whitening is hydrogen peroxide. Hydrogen peroxide works by breaking down the stains that cause teeth to become yellowed or discolored. During the procedure, the technician will apply a bleaching agent to your teeth and then use a special light to activate the agent. The light helps to speed up the whitening process and make it more effective. The in-office teeth whitening procedure typically takes about an hour to complete. In-office teeth whitening can lighten your teeth by up to 10 shades. The results of the procedure can last for several years.

A dental veneer is a thin, custom-made shell that is bonded to the front of a tooth to improve its appearance. Veneers can be used to correct a variety of cosmetic problems, such as:
- Chipped or cracked teeth
- Discolored teeth
- Misaligned teeth
- Gaps between teeth
Here are some of the benefits of veneers:
- They can improve the appearance of your teeth.
- They can make your teeth look whiter.
- They can close gaps between your teeth.
- They can correct misaligned teeth.
- They are a relatively quick and painless procedure.

Dental bonding is a cosmetic dental procedure that uses a tooth-colored resin material to repair chipped, cracked, or otherwise damaged teeth. It can also be used to close gaps between teeth, whiten teeth, or change the shape or size of teeth. Dental bonding is a relatively quick and affordable procedure. It is also a reversible procedure, so if you are not happy with the results, you can have the bonding removed.

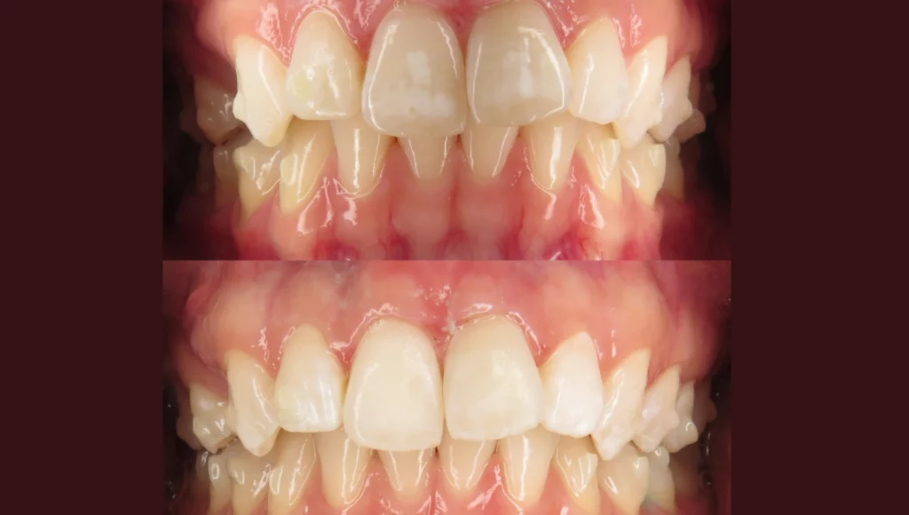
Dental ICON is a minimally-invasive procedure for treating white spot lesions. It is a safe, cost-effective, painless, and relatively quick procedure that can be completed in one visit to the dentist. It is minimally-invasive, meaning that it does not require drilling or other procedures that can damage healthy tooth tissue.
Invisalign
Invisalign is a type of orthodontic treatment that uses clear, removable aligners to gradually move teeth into their desired positions. Invisalign aligners are made of a thin, clear plastic that is custom-fitted to each patient’s teeth. It is a popular option for people who want to straighten their teeth without having to wear traditional metal braces. Invisalign is a safe and effective way to straighten teeth. Invisalign works by using a series of clear aligners that are worn over the teeth. The aligners are gradually changed over time, which gradually moves the teeth into their desired position. It is a good option for people who are looking for a discreet and comfortable orthodontic treatment. It is a popular alternative to traditional braces, as it is more discreet and can be removed for eating, drinking, and brushing.
However, Invisalign is not a perfect solution for everyone. It is not as effective for severe cases of malocclusion, and it may not be suitable for people with certain medical conditions. Additionally, Invisalign requires a high level of patient compliance, as the aligners must be worn for the prescribed amount of time each day.
Teeth whitening
Teeth whitening is a cosmetic dental procedure that uses a bleaching agent to lighten the color of teeth. The most common bleaching agent used in teeth whitening is hydrogen peroxide. Hydrogen peroxide works by breaking down the stains that cause teeth to become yellowed or discolored. During the procedure, the technician will apply a bleaching agent to your teeth and then use a special light to activate the agent. The light helps to speed up the whitening process and make it more effective. The in-office teeth whitening procedure typically takes about an hour to complete. In-office teeth whitening can lighten your teeth by up to 10 shades. The results of the procedure can last for several years.
Veneer
A dental veneer is a thin, custom-made shell that is bonded to the front of a tooth to improve its appearance. Veneers can be used to correct a variety of cosmetic problems, such as:
- Chipped or cracked teeth
- Discolored teeth
- Misaligned teeth
- Gaps between teeth
Here are some of the benefits of veneers:
- They can improve the appearance of your teeth.
- They can make your teeth look whiter.
- They can close gaps between your teeth.
- They can correct misaligned teeth.
- They are a relatively quick and painless procedure.
Dental bonding
Dental bonding is a cosmetic dental procedure that uses a tooth-colored resin material to repair chipped, cracked, or otherwise damaged teeth. It can also be used to close gaps between teeth, whiten teeth, or change the shape or size of teeth. Dental bonding is a relatively quick and affordable procedure. It is also a reversible procedure, so if you are not happy with the results, you can have the bonding removed.
ICON
Dental ICON is a minimally-invasive procedure for treating white spot lesions. It is a safe, cost-effective, painless, and relatively quick procedure that can be completed in one visit to the dentist. It is minimally-invasive, meaning that it does not require drilling or other procedures that can damage healthy tooth tissue.
